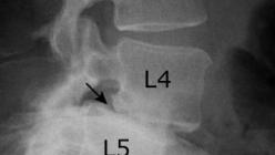
Gleitwirbel (Spondylolisthesis)

Spondylolisthesis wird in der Umgangssprache auch als Wirbelgleiten bezeichnet.

Sie ist in den meisten Fällen ein Ausdruck der Instabilität eines oder mehrerer Segmente der Wirbelsäule. Je nach Grad des Gleitens kann es zu Spinalkanalverengungen mit Nervenwurzelkompression und damit verbundenen Schmerzen und Ausfallerscheinungen (Sensibilitätsstörung, Lähmungen, Blasenmastdarmstörungen) führen.    

 

 

„Machen kann man viel. Das was man macht, muss aber auch Sinn machen.“

„Nur wer die wissenschaftlichen Hintergründe besitzt und die verschiedenen konservativen, minimalinvasiven und operativen Techniken beherrscht, kann für seine Patienten ein sinnvolles Behandlungskonzept erstellen.“
Dr. med. Mohammad Reza Farhadi

 

Vor diesem Hintergrund legen wir in unserer neurochirurgischen Praxis größten Wert darauf, Ihnen das gesamte Spektrum der Wirbelsäulenchirurgie anbieten zu können und dadurch in der Lage zu sein, für jeden Patienten unter Berücksichtigung seiner individuellen Lebens- und Gesundheitssituation die optimale Behandlung anzubieten. Gerne beraten wir auch Patienten, die eine Zweitmeinung suchen, insbesondere wenn Sie bei einer bereits gestellten Operationsindikation unsicher sind.